4 tipi di mal di testa da non ignorare mai, perché è importante conoscerli
Perché è importante conoscere i mal di testa da non ignorare mai
Il mal di testa è un disturbo molto frequente che interessa molti di noi, e spesso non diamo l’adeguata considerazione, in alcuni casi però non dobbiamo assolutamente prenderlo alla leggera. Ecco quali sono i 4 tipi di mal di testa da non ignorare mai.

Mal di testa, cefalea, emicrania… qual è la differenza?
Spesso ci lamentiamo del mal di testa. Il mal di testa in realtà è solo un modo generale per indicare il dolore pulsante e continuo che interessa la testa, che può essere causato da umidità, tensione, sinusite, pressione alta e altro ancora, nello specifico si divide in:
- cefalea, può essere causata da tensione della muscolatura circostante, si riduce con i massaggi e attraverso i metodi di rilassamento
- emicrania, spesso è accompagnata da fotofobia, nausea e sensibilità ai rumori, può essere causata da sbalzi ormonali o da cambi atmosferici

ed avere origini e cause differenti più o meno importanti. Soprattutto se insistente e molto forte, è bene rivolgersi prontamente al proprio medico curante. Infatti, proprio perché campanello di disturbi molto importanti, dobbiamo saper riconoscere e distinguere i 4 tipi di mal di testa da non ignorare mai.
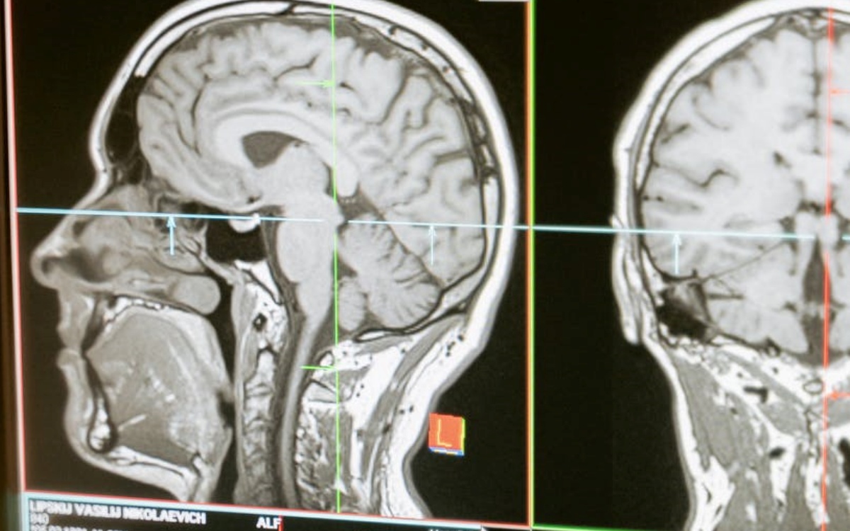
A volte è lo stress a procurarcelo, talvolta la mancanza di un riposo notturno adeguato e ristoratore. In alcuni casi però, è bene sapere che il mal di testa ha origini molto più serie e non dev’essere trascurato, come quando segnala la presenza di un’aneurisma.
I 4 tipi di mal di testa da non ignorare mai
Il dolore è un input che ci lancia il nostro corpo per avvisarci che qualcosa non va. In questi casi dobbiamo assolutamente valutare di fare una visita approfondita:

- mal di testa improvviso e travolgente
- dolore alla testa mai provato in nessun’altra occasione
- improvviso dolore accecante che non permette di svolgere le normali attività
- forte e improvviso dolore accompagnato da formicolio e paralisi facciale

in questi 4 casi infatti il mal di testa potrebbe essere avvisaglia di ictus, emorragia cerebrale e aneurisma, situazioni che, per evitare il rischio di morte o lesioni cerebrali, richiedono l’immediata somministrazione di farmaci e intervento medico.