Questa condizione può passare inosservata o colpire gravemente chi ne soffre. Atelettasia: sintomi e cause
L'atelettasia è un collasso polmonare che può essere causato da ostruzioni o pressione esterna, causando difficoltà respiratorie e sintomi di intensità variabile. È importante consultare un medico
La atelettasia è una condizione polmonare che si verifica quando una parte o l’intero polmone non riesce a espandersi correttamente. Questa situazione può insorgere a seguito di vari fattori. È fondamentale comprendere le cause e i sintomi di questo disturbo, poiché può portare a complicazioni respiratorie significative.

Il termine atelettasia deriva dalle parole greche “atele” che significa incompleto e “ektasis” che indica espansione. Si riferisce a una riduzione dell’aria nei polmoni, che porta al collasso di una parte del tessuto polmonare. Questo collasso può interessare l’intero polmone o solo un suo lobo e si verifica principalmente a causa di un’ostruzione delle vie aeree o di una pressione esercitata dall’esterno. A seguito di questo fenomeno, gli alveoli si sgonfiano o si riempiono di liquido, causando difficoltà respiratorie. Si tratta di una complicazione comune in diverse condizioni respiratorie, come la fibrosi cistica, i tumori polmonari e interventi chirurgici toracici. Può manifestarsi anche dopo l’inalazione di corpi estranei.
È fondamentale identificarla rapidamente, poiché può causare problemi respiratori significativi. In questo articolo approfondiremo i sintomi, le cause e le modalità di diagnosi e trattamento di questo disturbo.
Manifestazioni cliniche dell’atelettasia
È importante saper distinguere l’atelettasia da altre condizioni polmonari, come il pneumotorace. Mentre il pneumotorace si verifica quando l’aria fuoriesce dai polmoni, l’atelettasia comporta una riduzione dell’aria disponibile nei polmoni, portando a una perdita di volume nel polmone colpito. Quando interessa una piccola area del polmone o si sviluppa lentamente, i sintomi possono essere lievi o addirittura assenti. Tuttavia, se colpisce un’ampia porzione degli alveoli o si sviluppa rapidamente, può comportare sintomi gravi.
I sintomi più comuni includono difficoltà respiratorie, respirazione rapida e superficiale, tosse, respiro sibilante e dolore toracico, che si manifesta soprattutto in caso di traumi o polmonite. Inoltre, si possono verificare tachicardia e ipotensione, mentre la cianosi, causata dall’ipossia, indica una riduzione dell’ossigenazione del sangue. Se si osserva un peggioramento delle difficoltà respiratorie, è cruciale consultare un medico per una valutazione approfondita.
Origine dell’atelettasia
Le cause dell’atelettasia sono molteplici e possono essere suddivise in due categorie principali: ostruzione e non ostruzione. L’ostruzione delle vie aeree, sia a livello dei bronchi che dei bronchioli, è una causa comune di questo disturbo. Anche la pressione proveniente dall’esterno del polmone, come nel caso di traumi o accumulo di liquido, può contribuire allo sviluppo dell’atelectasia.
Un fattore particolarmente rilevante è l’anestesia generale, che altera il normale ritmo respiratorio e influisce sull’efficace scambio di gas nei polmoni, portando a un possibile sgonfiamento degli alveoli. È comune che i pazienti sottoposti a interventi chirurgici maggiori sviluppino un certo grado di atelettasia.
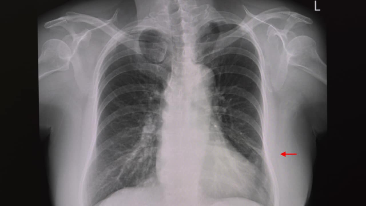
Diagnosi e valutazione della condizione
La diagnosi di solito richiede una valutazione clinica approfondita accompagnata da una radiografia del torace. Tuttavia, per confermare il sospetto diagnostico e valutare la gravità della condizione, possono essere utilizzate ulteriori tecniche, come la tomografia computerizzata, la broncoscopia, l’ecografia e l’ossimetria. La broncoscopia è particolarmente utile poiché consente di visualizzare eventuali ostruzioni e, se necessario, rimuovere il blocco.
Strategie terapeutiche
Il trattamento varia in base alla causa sottostante. In alcuni casi, l’atelettasia lieve può risolversi spontaneamente senza alcun intervento. Tuttavia, quando necessario, le opzioni terapeutiche possono includere la rimozione delle ostruzioni mediante broncoscopia, la percussione toracica per liberare i tappi mucosi, e l’uso di farmaci inalatori per dilatare le vie respiratorie. In presenza di tumori, sarà necessario adottare un approccio specifico per gestire la neoplasia.

In situazioni in cui il paziente non è in grado di tossire e presenta ipossiemia, si può ricorrere alla pressione positiva continua delle vie aeree (CPAP), particolarmente utile dopo interventi chirurgici.
L’atelettasia è un disturbo che può rimanere silente, ma che merita attenzione poiché può essere indice di problematiche più gravi. È fondamentale identificare le cause e i sintomi per garantire un trattamento adeguato, specialmente in caso di difficoltà respiratorie. Una valutazione tempestiva da parte di un professionista della salute è essenziale per affrontare questa condizione in modo efficace.